
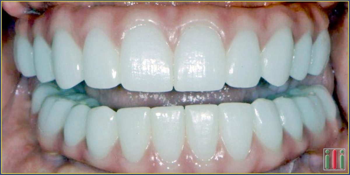
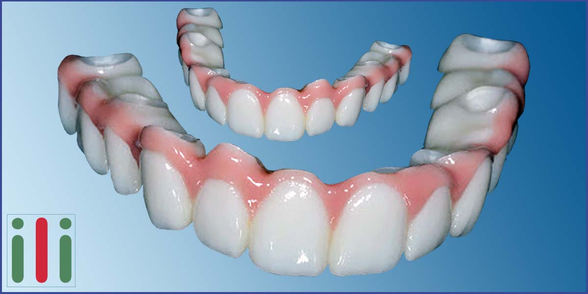
One-phase implant-based mouth restoration by implant specialist
How is a one-phase implant-based mouth restoration ready in just 5 days? The basic rule is that the better we care for our teeth, the later we will have dental problems. After a while, however, even with the most careful dental care, the condition of the teeth deteriorates. There may
								










														
