Learn more about the one-phase immediate loading dental implant
Introduction
Healthy teeth play a crucial role in maintaining overall well‑being, and when they are lost, the impact extends far beyond aesthetics. Tooth loss can compromise chewing, speech, and long‑term oral health, making timely replacement essential. Among the modern solutions available today, the one-phase immediate loading implant stands out as one of the most innovative and efficient options. As the document notes, “one of the most innovative is the implantation of a one-phase immediate loading implant, and the denture fixed on such an implant.” This article explores the most common questions patients ask about this implant type, helping readers understand why it has become a preferred choice for many seeking fast, stable, and long-lasting tooth replacement.
Why is a dental implant considered the best tooth replacement solution?
Choosing the right tooth replacement method is a significant decision, and many patients begin by consulting their general dentist. Even if a dentist does not personally perform implant-based restorations, they can still provide valuable guidance. Patients often gather information from multiple sources: professional advice, personal recommendations, and online research. The document highlights this process by stating that “we can therefore get the information necessary for a decision from our dentist and from people living in our immediate environment.” Dental implants are widely regarded as the most advanced solution because they replace both the visible tooth and the root, offering stability, durability, and natural function. For those seeking a long-term restoration that closely mimics natural teeth, implant-based dentures provide a reliable and modern alternative.
How can I find the best oral surgeon for one-phase implantology?
Once a patient decides that implant-based restoration is the right path, the next step is selecting a qualified oral surgeon. This choice is crucial, as implant placement requires both technical expertise and extensive experience. Many patients begin by asking their general dentist for recommendations, as dental professionals often know specialists who excel in implantology. Beyond personal referrals, online research plays an increasingly important role. Searching with targeted keywords can help identify clinics and surgeons who specialize in one-phase immediate loading implant procedures.
Selecting the right professional requires careful evaluation. Patients are encouraged to review clinic websites, examine before‑and‑after cases, read online reviews, and, if possible, speak with individuals who have undergone similar treatments. Because relatively few specialists focus on one-phase immediate loading implants, finding the right expert may take time. However, the effort is worthwhile, as the success of the treatment depends heavily on the surgeon’s skill and experience.
What exactly is a one-phase immediate loading implant?
A one-phase immediate loading implant is a single-piece titanium implant designed to be placed and loaded with a denture in a short period. Unlike traditional two-phase implants, which require multiple surgical steps and months of healing before loading, the one-phase system allows for immediate stabilization. This means that a temporary denture can often be attached within days, providing both function and aesthetics almost immediately.
The implant itself acts as an artificial tooth root, integrating with the bone while supporting a fixed denture. Patients who choose this method benefit from fewer surgical interventions, shorter treatment times, and a streamlined process. Many individuals prefer this approach because it offers a faster path to restored chewing ability and improved appearance.
How long does one-phase implant tooth replacement take?
One of the most remarkable advantages of the one-phase immediate loading implant is the speed of treatment. Full-mouth rehabilitation—covering both the upper and lower jaw—can be completed in as little as five working days. This rapid timeline is possible because the implant is designed for immediate stabilization, allowing the denture to be attached shortly after placement.
The treatment is typically performed under general anesthesia to ensure patient comfort. The process consists of two main stages: the initial oral rehabilitation with implant placement and the later creation of the permanent porcelain denture.
First stage – Oral rehabilitation and implantation
During the first visit, the oral surgeon performs a comprehensive assessment and prepares the patient for surgery. This stage includes:
– Personal consultation with the implantologist,
– Panoramic X‑ray and CT scan,
– Detailed examination of the oral cavity, with special attention to bone condition,
– Removal of teeth unsuitable for restoration,
– Placement of the required number of one-phase implants,
– Consultation with the anesthesiologist,
– General anesthesia administered by an external specialist,
– Creation of a long-term temporary denture,
– Follow-up examinations as needed.
This stage ensures that the implants are securely placed and that the patient leaves with a functional temporary denture.
Second stage – Permanent porcelain dentures
After the initial healing period, the patient returns for the final restoration. This stage includes:
– Consultation with the oral surgeon who performed the implantation,
– A new panoramic X‑ray,
– Thorough examination of the implants,
– Preparation of the permanent porcelain denture,
– Additional control examinations as required.
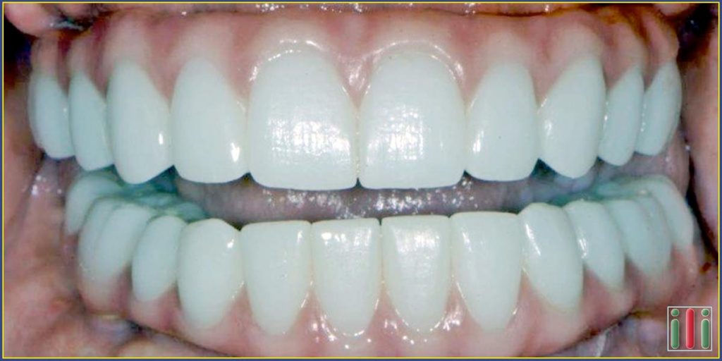
The final denture is custom-made to ensure comfort, durability, and natural appearance.
Why do many patients choose the one-phase immediate loading implant?
Patients often select this method because it offers a combination of speed, stability, and versatility. The short treatment time is especially appealing to individuals who want to restore their denture quickly. Additionally, one-phase implants can be used even in cases of significant bone deficiency, reducing the need for bone grafting. This makes the procedure accessible to a wider range of patients, including older adults whose bone quality may have diminished over time.
The single-piece design also contributes to lower overall treatment costs and fewer surgical interventions. For many, the ability to regain full chewing function and a natural-looking denture within days is a life-changing benefit.
Summary
The one-phase immediate loading implant is an advanced and efficient solution for replacing missing teeth, offering rapid treatment, strong stability, and natural function. Patients appreciate its ability to support a denture within days, its suitability even in cases of bone deficiency, and its streamlined surgical process. With proper planning, expert surgical care, and high-quality materials, this implant type provides a reliable and long-lasting restoration. For individuals seeking a fast and effective way to restore their denture, the one-phase immediate loading implant represents one of the most innovative options available today.
In our Articles section, there are many writings on the following topics: dentures with implants, dental implantation with one-phase and two-phase implants, and All-On-4 & All-On-6 technology.
We work with state-of-the-art dental tools, materials, and technologies.
30 years of experience, more than 35,000 successful implant placements, and a 99.7% success rate!
iliDent Patient Coordinator © Copyright 2021
ImmediateLoadingImplants.com


