Milyen lehetséges probléma fordulhat elő a kétfázisú implantátummal?
Bevezető
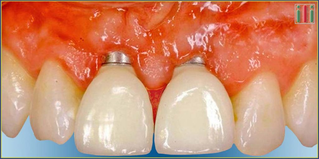
A fogászati implantátumok megjelenése alapjaiban változtatta meg a modern fogpótlás lehetőségeit. A természetes fogakhoz legközelebb álló megoldást kínálják, és jelentősen javítják a mindennapi életminőséget. A beültetett implantátum a fogcsontba rögzül, és idővel annak szerves részévé válik, így stabil alapot biztosít koronának, hídnak vagy akár teljes fogsornak. A tartósság azonban nem kizárólag az implantátum minőségén múlik: legalább ilyen fontos az állkapocs csontozatának állapota. Amikor a lehetséges probléma kétfázisú implantátummal kerül szóba, a háttérben szinte mindig e két tényező valamelyike áll.
A fogászati implantátumoknak két fő típusa terjedt el: a hagyományos kétfázisú és az azonnal terhelhető egyfázisú implantátum. A kétfázisú rendszer sikeres alkalmazásához megfelelő mennyiségű és minőségű csontozat szükséges, hiszen az implantátum csak a gyógyulási időszak végére éri el a teljes stabilitást. Ez az időszak általában 4–5 hónap, amely alatt az implantátum és a csont összenő, és kialakul a végleges rögzülés.
Az egyfázisú implantátum ezzel szemben egyetlen darabból áll, jellemzően hosszabb, és stabilitása kevésbé függ a csontozat minőségétől. Ez az egyik oka annak, hogy bizonyos esetekben előnyösebb választás lehet, különösen akkor, ha a csontállomány nem ideális.
A cikk címe, lehetséges probléma kétfázisú implantátummal, nem kizárólag magára az implantátumra utal, hanem az implantátumon alapuló fogpótlás egészére. A problémák több mint 95%-a ugyanis nem az implantátumból ered, hanem az azt befogadó csontozat állapotából. Ezért a témát csak úgy lehet helyesen megérteni, ha a csontozat szerepét is részletesen megvizsgáljuk.
A csontozat szerepe a kétfázisú implantátum sikerében
A kétfázisú implantátum működésének alapja a csontosodás, vagyis az a folyamat, amely során az implantátum és a csont összekapcsolódik. Ehhez egészséges fogínyre és megfelelő mennyiségű, jó minőségű csontállományra van szükség. Ha ezek a feltételek nem adottak, az implantátum nem tud kellően rögzülni, és már a gyógyulási időszak alatt is felléphetnek problémák.
A nem megfelelő csontozat többféle formában jelentkezhet. Lehet egyszerűen kevés a csont, lehet túl puha, vagy lehet olyan mértékben visszahúzódott, hogy az implantátum nem kap elegendő stabilitást. Ilyen esetekben gyakran szükség van csontpótlásra, amely a kétfázisú implantátumoknál sokszor elengedhetetlen lépés.
A csontpótlás azonban nem minden esetben garantálja a tökéletes eredményt. A szervezet egyéni reakciói, a csont minősége, a gyógyulási folyamat sebessége és a páciens általános egészségi állapota mind befolyásolják a végeredményt. Ezért fordulhat elő, hogy a lehetséges probléma kétfázisú implantátummal már a csontosodási időszak alatt jelentkezik.
A csontosodási időszak kihívásai
A kétfázisú implantátum beültetése után a gyógyulási időszak kulcsfontosságú. Ez az a néhány hónap, amikor az implantátum és a csont összenő, és kialakul a végleges stabilitás. Ha a csontosodás nem megfelelő, az implantátum nem tudja ellátni a feladatát, és nem biztosítja a szükséges rögzítő erőt.
A csontosodás elmaradásának több oka lehet. Előfordulhat, hogy az implantátum nem ideális helyre került beültetésre, vagy a csont sűrűsége nem elegendő. Okozhatja szöveti károsodás, gyulladás, vagy — nagyon ritkán — az implantátum anyaghibája. A kétfázisú implantátumok esetében, ha a csontozat nem megfelelő, gyakran szükségessé válik a sinus lift vagy más csontpótló eljárás.
A csontosodási időszak alatt fellépő problémák tehát nem elsősorban az implantátum hibájából erednek, hanem a csontozat állapotából. Ezért a megfelelő előkészítés, a pontos diagnosztika és a rendszeres kontrollvizsgálat elengedhetetlen.
A csontvesztés mint későbbi problémaforrás
A csontozat állapota nemcsak a beültetéskor fontos, hanem hosszú távon is. Előfordulhat, hogy a beültetéskor tökéletes csontozat az évek során természetes módon ritkulni kezd. Ez a folyamat a szervezet öregedésével, hormonális változásokkal vagy akár genetikai tényezőkkel is összefügghet. Ha a csontállomány jelentősen csökken, az implantátum meglazulhat, és nem képes tovább ellátni a feladatát.
Ez a jelenség mindkét implantátumtípusnál előfordulhat, de a kétfázisú rendszernél gyakoribb. A rendszeres kontrollvizsgálatok éppen ezért kiemelten fontosak: a szakember időben felismeri a változásokat, és szükség esetén beavatkozik.
Megoldási lehetőségek és megelőzés
A kétfázisú implantátumokkal kapcsolatos nehézségek túlnyomó többsége nem magából az implantátumból ered, hanem a csontozat állapotából. Ez azonban nem jelenti azt, hogy a felmerülő problémák ne lennének kezelhetők. A modern implantológiában többféle megoldás is rendelkezésre áll, és a legtöbb esetben sikeresen helyreállítható az implantátum stabilitása vagy akár teljes funkcionalitása is.
A lehetséges probléma kétfázisú implantátummal témakörében két fő területet érdemes megvizsgálni: — mit lehet tenni, ha a csontosodás nem megfelelő, — és milyen megoldások léteznek akkor, ha a csontozat idővel meggyengül.
Mindkét helyzet más jellegű beavatkozást igényel, de a cél minden esetben ugyanaz: visszaállítani az implantátum stabilitását és biztosítani a fogpótlás hosszú távú működését.
Megoldások csontosodási probléma esetén
Ha a csontosodás nem megfelelő, az implantátum nem képes kellően rögzülni, és nem biztosítja a szükséges tartóerőt. Ilyenkor az első lépés annak megállapítása, hogy mi okozta a problémát. A diagnózis alapján többféle megoldás is szóba jöhet.
Az egyik leggyakoribb megoldás az implantátum eltávolítása és új beültetése. Ez történhet ugyanazon a helyen, de gyakran célszerű új pozíciót választani, ahol a csontozat kedvezőbb. Ha a csont minősége vagy mennyisége nem megfelelő, csontpótlásra is szükség lehet, amely előkészíti a területet az új implantátum számára.
A kétfázisú implantátumok esetében a csontpótlás gyakran elengedhetetlen, hiszen a rendszer stabilitása nagymértékben függ a csontozat állapotától. A csontpótló eljárások — például a sinus lift — lehetővé teszik, hogy a csontállomány megerősödjön, és megfelelő alapot biztosítson az új implantátumnak.
A csontosodási problémák tehát kezelhetők, de a folyamat időigényes lehet. A siker kulcsa a pontos diagnózis, a megfelelő beavatkozás és a gyógyulási időszak gondos követése.
Megoldások csontvesztés esetén
A csontvesztés hosszabb idő alatt alakul ki, és gyakran csak rendszeres kontrollvizsgálatok során derül ki. Ha a csontállomány jelentősen csökken, az implantátum meglazulhat, és nem képes tovább ellátni a feladatát. Ilyenkor többféle megoldás is szóba jöhet.
Az egyik lehetőség az implantátum cseréje. Ha a csontozat még elegendő stabilitást biztosít, egy vastagabb vagy hosszabb implantátum beültetése is megoldhatja a problémát. Ez különösen akkor hatékony, ha a csontvesztés nem túl előrehaladott.
Ha a csontállomány jelentősen meggyengült, csontpótlásra lehet szükség. A csontpótló eljárások célja, hogy megerősítsék a területet, és újra alkalmassá tegyék az implantátum befogadására. A kétfázisú implantátumok esetében ez gyakran elkerülhetetlen, hiszen a rendszer stabilitása nagyban függ a csontozat minőségétől.
Az egyfázisú implantátum ebben a tekintetben előnyösebb lehet. Mivel egyetlen darabból áll, és jellemzően hosszabb, stabilitása kevésbé függ a csontozat állapotától. Sok esetben akkor is beültethető, ha a csontállomány nem ideális, és ritkábban fordul elő csontvesztés miatti meglazulás. Ha mégis szükség van beavatkozásra, gyakran elegendő egy hosszabb vagy vastagabb implantátum beültetése, amely visszaállítja a stabilitást.
A megelőzés szerepe
A lehetséges probléma kétfázisú implantátummal témakörében a megelőzés legalább olyan fontos, mint a kezelés. A megfelelő szájhigiénia, a rendszeres fogorvosi ellenőrzés és az implantátum körüli szövetek állapotának folyamatos figyelése jelentősen csökkenti a kockázatokat.
A páciensek gyakran alábecsülik a kontrollvizsgálatok jelentőségét, pedig ezek során derülnek ki azok a finom elváltozások, amelyek később komoly problémákhoz vezethetnek. A korai felismerés lehetővé teszi, hogy a szakember időben beavatkozzon, és megelőzze az implantátum meglazulását vagy elvesztését.
A helyes szájápolás szintén kulcsfontosságú. A gyulladás, a fertőzés vagy a nem megfelelő tisztítás mind hozzájárulhatnak a csontozat gyengüléséhez. Aki odafigyel ezekre, jelentősen csökkenti a komplikációk esélyét.
Összefoglaló
A lehetséges probléma kétfázisú implantátummal témakörében bemutattuk a leggyakoribb nehézségeket és az ezekre adható megoldásokat. A problémák túlnyomó többsége nem az implantátumból ered, hanem a csontozat állapotából. A modern implantológia azonban számos hatékony megoldást kínál, legyen szó csontosodási problémáról, csontvesztésről vagy az implantátum stabilitásának helyreállításáról.
A siker kulcsa a pontos diagnózis, a megfelelő beavatkozás és a rendszeres kontrollvizsgálat. Aki ezeket betartja, nagy valószínűséggel hosszú távon is problémamentesen élhet implantátumaival.
Blog rovatunkban számos írás olvasható az alábbi témákban: fogpótlás implantátummal, fogbeültetés egyfázisú és kétfázisú implantátummal, valamint All-On-4 és All-On-6 technológiával.
A legmodernebb fogászati eszközökkel, anyagokkal és módszerekkel dolgozunk.
30 éves tapasztalat, több, mint 35 000 sikeres implantátum beültetés és 99.7 % os sikerarány!
iliDent Páciens Koordinátor © Copyright 2020
ImmediateLoadingImplants.com


